Physiotherapy for Post-Fracture Rehabilitation: A Complete Guide to Healing Stronger
Physiotherapy for Fracture Recovery
Fractures can be painful and limiting, but the journey doesn’t end with a cast or surgery. Post-fracture rehabilitation is essential to restore mobility, strength, and function. One of the most effective and necessary components of recovery is physiotherapy.
At FitoFine Physiotherapy Clinic, we offer personalized physiotherapy programs designed specifically for post-fracture recovery, helping patients heal faster, regain independence, and prevent complications.

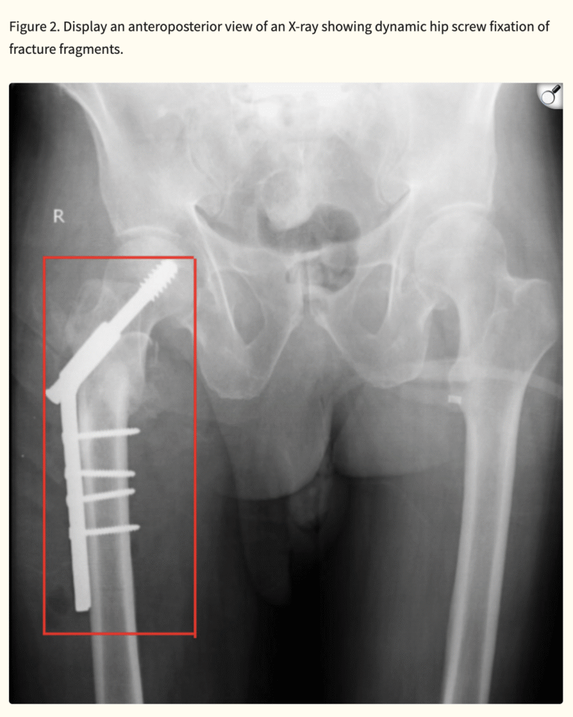
Intertrochanteric fractures are increasingly prevalent as life expectancy rises worldwide. Osteoporosis and accidental falls remain the leading risk factors among older adults. While surgical stabilization is the treatment of choice, complications such as infection, non-union, avascular necrosis, venous thrombosis, and post-traumatic arthritis may hinder recovery.
Even with surgical intervention, nearly half of patients fail to regain pre-injury mobility. Thus, rehabilitation plays a pivotal role in restoring function, maintaining independence, and preventing long-term disability. Early stabilization of hip fractures allows for quicker mobilization, shorter hospital stays, and reduced complications, ultimately improving survival and quality of life.
Physiotherapy contributes substantially to recovery by addressing pain, swelling, joint stiffness, muscle weakness, impaired coordination, and balance deficits. Progressive strengthening, gait training, and functional retraining help patients regain mobility and confidence, reducing the risk of recurrent falls.

What Is Post-Fracture Rehabilitation?
When a bone breaks, it disrupts not just the skeletal system but also the surrounding muscles, joints, and ligaments. Once the bone is set and immobilized (with a cast, splint, or surgery), rehabilitation is required to:
- Regain lost mobility and flexibility
- Rebuild muscle strength
- Improve coordination and balance
- Restore normal movement patterns
- Reduce pain and swelling
Without physiotherapy, stiffness, muscle weakness, and limited joint movement can persist long after the bone heals.

Why Physiotherapy Is Essential After a Fracture
Whether it’s a simple fracture or a complex compound break, physiotherapy is key to full recovery. Here’s how it helps:
- Speeds up healing through guided movement
- Reduces stiffness from immobilization
- Improves blood circulation
- Prevents muscle atrophy from lack of use
- Restores full joint mobility and strength
- Minimizes the risk of re-injury
At FitoFine, we use proven rehabilitation techniques to ensure optimal recovery tailored to your condition.

Types of Fractures Commonly Treated with Physiotherapy
- Wrist and forearm fractures
- Elbow fractures
- Shoulder or collarbone fractures
- Hip fractures
- Femur (thigh bone) fractures
- Knee and ankle fractures
- Spine (vertebral) fractures
Each type of fracture has unique recovery needs, our expert physiotherapists ensure your program is specific and effective.

Stages of Physiotherapy After a Fracture at FitoFine
1. Initial Phase (During Immobilization)
- Focus: Pain relief, swelling reduction, and preventing stiffness
- Techniques used:
- Ice therapy
- Elevation
- Isometric muscle exercises
- Gentle movements of the surrounding joints
2. Mobilization Phase (Post-Cast Removal)
- Focus: Restore range of motion, begin light functional activities
- Techniques used:
- Passive and active stretching
- Assisted joint mobilization
- Functional exercises
3. Strengthening Phase
- Focus: Rebuild strength and endurance
- Techniques used:
- Resistance training
- Weight-bearing exercises
- Proprioception and balance training
4. Return-to-Function Phase
- Focus: Help patients return to daily activities, sports, or work
- Techniques used:
- Task-specific training
- Functional drills
- Ergonomic advice


Physiotherapy Techniques Used at FitoFine for Fracture Recovery
- Range of Motion Exercises
- Stretching and Flexibility Training
- Strength Training with Resistance Bands/Weights
- Ultrasound and Electrotherapy for Pain Relief
- Manual Therapy and Joint Mobilization
- Balance and Coordination Drills
- Gait Training (if fracture affected walking)

When Should You Start Physiotherapy After a Fracture?
In most cases, physiotherapy can begin:
- During immobilization with isometric exercises
- Immediately after cast removal for mobility and strength restoration
Early intervention = faster recovery. Consult our experts for a personalized timeline.
The studies reviewed were diverse in terms of patient populations (fracture type, location, and complexity), intervention approaches, and therapeutic goals. Despite this variability, several common elements were identified.
Most interventions or comparators included components such as range of motion exercises, strengthening and task-specific training, functional activities, gait and balance training, and guidance on returning to daily activities. Additional value was placed on coordinated multidisciplinary care, person-centred rehabilitation, supervised exercise, and psychosocial support.
Recovery Tips for Patients Post-Fracture
- Follow your physiotherapist’s plan consistently.
- Avoid overexertion. Gradual progress is key.
- Eat calcium- and protein-rich foods for bone repair.
- Use support aids like crutches or braces only as recommended.
- Stay motivated! Recovery is a journey, and progress is possible.
FAQs About Physiotherapy for Post-Fracture Recovery
Q1. How long does it take to recover after a fracture with physiotherapy?
Recovery time depends on the type of fracture and your overall health. Most patients require 4–12 weeks of physiotherapy, sometimes longer for severe breaks.
Q2. Will I be able to return to my normal activities after rehab?
Yes, with regular physiotherapy, most people regain full function and can resume daily activities, work, or sports.
Q3. Is physiotherapy painful after a fracture?
Some exercises may be slightly uncomfortable initially. Our experts at FitoFine ensure all treatments are safe and within your tolerance level.
Q4. What if I skip physiotherapy after a fracture?
You risk long-term stiffness, weakness, and re-injury. Skipping rehab may result in incomplete recovery.
Q5. Do you treat elderly patients with fractures?
Absolutely. We specialize in geriatric physiotherapy to safely help older adults recover from fractures.
Why Choose FitoFine for Post-Fracture Physiotherapy?
Expert physiotherapists trained in musculoskeletal and orthopedic rehab
One-on-one attention and personalized plans
Convenient evening hours for working individuals
Affordable care with long-lasting results
Support for patients of all ages and injury types
Heal Stronger with FitoFine Physiotherapy
Don’t let a fracture slow you down. With the right post-fracture rehabilitation plan, you can get back to your normal life, stronger and healthier.
Working Hours:
Mon to Sat – 5:00 PM to 10:00 PM
Sunday – Closed
Call: +91 6295115701
Email: fitofine.in@gmail.com
Website: www.fitofine.com
Let FitoFine help you take the first step towards a full and confident recovery.

